Impianti

All-on-4

 La paziente ha eseguito una riabilitazione orale completa con la tecnica All-on-4 sia nell’arcata superiore che in quella inferiore. Il posizionamento degli impianti e delle protesi fisse ha ripristinato correttamente funzione e stabilità masticatoria. Il risultato finale è un sorriso naturale, armonioso e sicuro. 

All-on-4

La paziente ha effettuato una riabilitazione orale completa con la tecnica All-on-4 mediante impianti dentali e protesi fisse. Il trattamento ha ripristinato funzione masticatoria, stabilità ed estetica del sorriso. Il risultato finale è naturale, duraturo e sicuro.

All-on-4

Il paziente ha eseguito una riabilitazione orale con la tecnica All-on-4 esclusivamente nell’arcata superiore, mediante impianti dentali e protesi fissa. Il trattamento ha ripristinato funzione, stabilità ed estetica del sorriso. Il risultato finale è naturale, duraturo e armonioso.

All-On-4

Trasformazione completa del sorriso con la tecnica All-on-4. Dopo il posizionamento degli impianti e della protesi fissa, la paziente ha ottenuto un sorriso nuovo, funzionale ed esteticamente armonioso. 

All-On-4

Il paziente ha eseguito il trattamento con la tecnica All-on-4, una soluzione moderna e stabile che consente il ripristino completo dei denti su soli quattro impianti dentali. Grazie a questo trattamento, è stato ottenuto un sorriso funzionale, estetico e dall’aspetto naturale, migliorando significativamente la qualità della vita del paziente.

All-on-4

 Il paziente ha effettuato una riabilitazione orale completa con la tecnica All-on-4, con impianti dentali nell’arcata superiore e inferiore. Il trattamento ha ripristinato funzione masticatoria, stabilità ed estetica del sorriso. Il risultato finale è naturale, duraturo e sicuro. 

All-On-4

Il paziente ha effettuato la metodica All-on-4 sia nell’arcata superiore che in quella inferiore, posizionando impianti dentali che sostengono protesi fisse personalizzate. La procedura ha ripristinato pienamente funzionalità, stabilità e un’estetica naturale del sorriso. Il risultato finale garantisce comfort nel parlare, masticare e una trasformazione estetica completa.

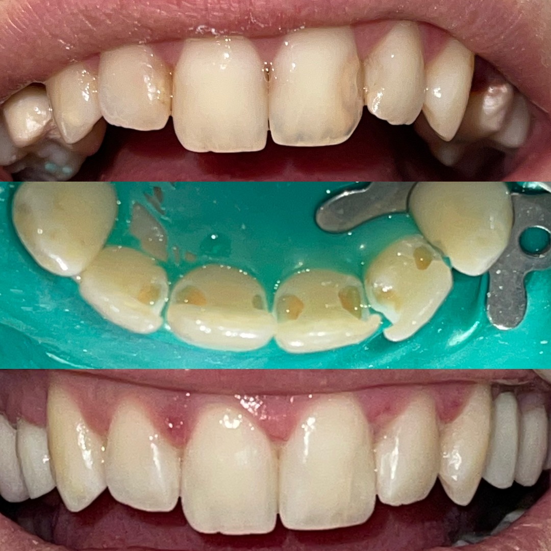
Faccette - Hollywood smile

E-max

 Il paziente ha ricevuto delle faccette E-max nella parte superiore per ottenere un sorriso bello e naturale. Questo trattamento garantisce un’estetica elevata, resistenza e durabilità nel tempo. 

E-max

 Il paziente ha ricevuto faccette E-max sia nella parte superiore che inferiore per ottenere un sorriso unico e armonioso. Questo trattamento garantisce un’elevata estetica, resistenza e risultati duraturi. 

E-max

Il paziente ha ricevuto faccette E-max sia nella parte superiore che inferiore per ottenere un sorriso unico e armonioso. Questo trattamento garantisce un’elevata estetica, resistenza e risultati duraturi. 

E-max

 La paziente ha effettuato una trasformazione completa del sorriso con faccette sia superiori che inferiori, creando un sorriso nuovo e accattivante. Questo trattamento offre un cambiamento estetico evidente e risultati duraturi.

E-max

La paziente ha eseguito l’applicazione di faccette in E-max sia nell’arcata superiore che in quella inferiore, migliorando forma, colore e simmetria dei denti. Grazie all’elevata traslucenza e resistenza del materiale E-max, è stato ottenuto un sorriso naturale, armonioso ed estremamente estetico. Un risultato personalizzato, duraturo ed elegante.

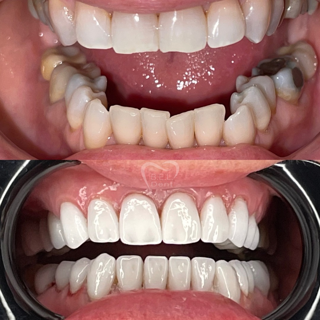
Corone e Ponti

Ponti

 Il paziente ha effettuato l’applicazione di corone in zirconio sia nell’arcata superiore che in quella inferiore, ripristinando funzione, resistenza ed estetica dei denti. Il zirconio garantisce un’elevata durabilità e un aspetto naturale, offrendo un sorriso armonioso, stabile e sicuro. 

Ponte

 Il paziente ha effettuato l’applicazione di corone in zirconio nell’arcata superiore, migliorando forma, resistenza ed estetica dei denti. Grazie alle eccellenti proprietà del zirconio, è stato ottenuto un sorriso naturale, armonioso e duraturo, con piena funzionalità. 

Corone

 Il paziente ha effettuato l’applicazione di corone in zirconio nell’arcata superiore, migliorando forma, colore e resistenza dei denti. Le proprietà del zirconio permettono di ottenere un sorriso naturale, armonioso e duraturo. 

All-on-4 & Ponte in Zirconio

Riabilitazione completa del sorriso con tecnica All-on-4 nell’arcata superiore e un ponte in zirconio nell’arcata inferiore. La combinazione tra stabilità implantare e l’estetica del zirconio ha restituito funzione, armonia e naturalezza al sorriso. Un risultato duraturo, estetico e ricco di fiducia.

Ricostruzioni (Otturazioni)

Otturazione in Composito

Il paziente ha effettuato una ricostruzione estetico-funzionale dei denti 14 e 15, correggendo danni dello smalto e difetti strutturali. Con materiali compositi è stata ripristinata la forma naturale, il contorno anatomico e la stabilità occlusale. Un risultato finale armonioso, pulito e perfettamente integrato.

Otturazione in Composito

Restauro estetico di un dente con 5 lesioni cariose. Dopo l'otturazione in composito, il dente riacquista la sua forma, funzione e aspetto naturale. 

Otturazione in Composito

Il paziente ha eseguito una ricostruzione dei denti dal lato interno, ripristinando la struttura persa e rinforzando gli elementi dentali compromessi da usura, fratture o carie. Con materiale composito estetico è stata ricreata la forma naturale, migliorando funzione e stabilità occlusale, per un risultato duraturo e praticamente invisibile.

Otturazione in Composito

Sostituzione delle otturazioni vecchie e ricostruzione dei denti danneggiati dalla carie. Dopo la rimozione dei materiali usurati e una pulizia accurata, i denti sono stati restaurati con composito estetico, recuperando forma, funzione e un aspetto naturale. Un risultato pulito, stabile e molto armonioso.

Otturazione in Composito

La paziente ha eseguito una ricostruzione estetica degli incisivi, correggendo irregolarità di forma e piccole usure dello smalto. Con compositi estetici è stata ripristinata la simmetria, la naturale traslucenza e l’armonia del sorriso. Un risultato delicato, naturale e molto pulito.

Otturazione in Composito

Restauro di un dente con una carie profonda nella zona distale. Dopo la rimozione della carie e l’applicazione dell’otturazione in composito, il dente ha recuperato la sua forma, funzione ed estetica naturale.

Otturazione in Composito

Ricostruzione estetica e funzionale dei denti danneggiati dalla carie. Dopo la pulizia e il restauro con materiale composito, i denti hanno riacquistato la loro forma naturale, i corretti punti di contatto e un aspetto armonioso. Un risultato pulito, stabile ed esteticamente curato.

Otturazione in Composito

Il paziente ha effettuato una ricostruzione estetico-funzionale del dente 14, correggendo danni dello smalto e irregolarità della forma. Con compositi estetici è stata ripristinata la struttura naturale, il contorno e la stabilità occlusale. Risultato finale pulito, armonioso e perfettamente integrato.

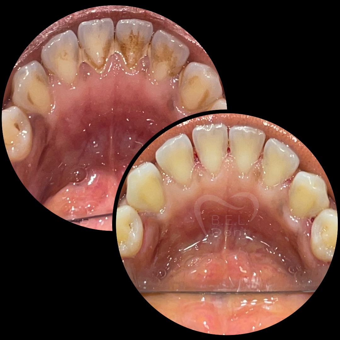
Detartrasi - Pulizia professionale

Igiene Dentale

Detartrasi professionale 

Igiene dentale

 Il paziente ha effettuato una pulizia professionale dei denti inferiori, dopo un anno senza controlli dentistici. Essendo un fumatore, presentava accumulo di tartaro e placca batterica. Dopo il trattamento, i denti risultano puliti a fondo, più sani e con un aspetto più estetico. 

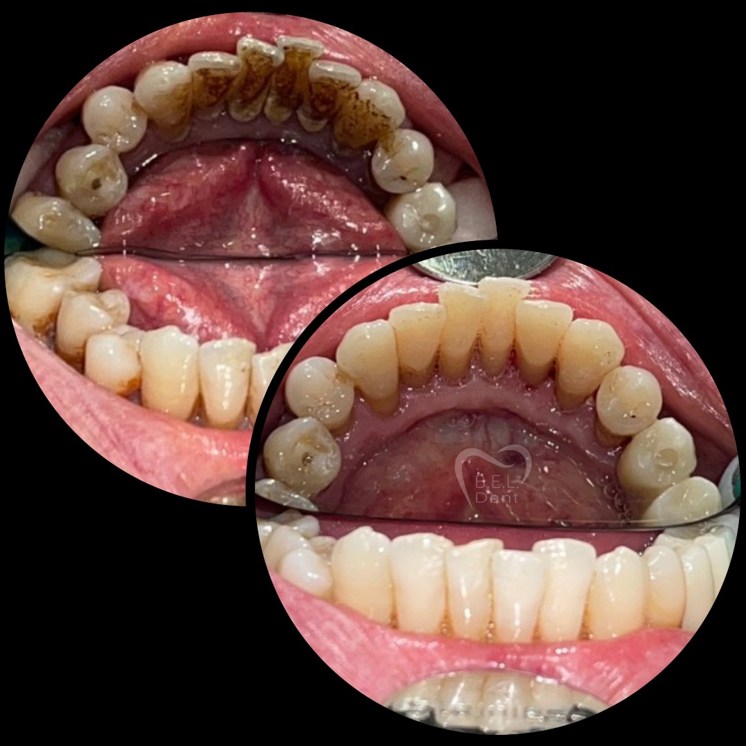
Igiene dentale

Il paziente ha effettuato una seduta di detartrasi dei denti frontali inferiori, rimuovendo tartaro e placca batterica accumulata. Dopo il trattamento, i denti risultano visibilmente più puliti, più sani e con un aspetto più estetico

Igiene dentale

Il paziente ha effettuato una seduta di detartrasi professionale per rimuovere tartaro e placca. I risultati prima e dopo mostrano un miglioramento evidente nella pulizia e nell'estetica dentale

Sbiancamenti

Sbiancamento dentale

Il paziente ha effettuato un trattamento di sbiancamento dentale professionale, ottenendo un sorriso più luminoso e naturale. La procedura è sicura, indolore e garantisce risultati immediati. Migliora visibilmente l’estetica del sorriso.

Sbiancamento dentale

Il paziente ha scelto un trattamento professionale di sbiancamento dei denti, ottenendo un sorriso più luminoso e sano. I risultati sono visibili immediatamente e appaiono naturali.

Sbiancamento dentale

Il paziente ha vissuto una trasformazione luminosa del suo sorriso grazie a un trattamento professionale di sbiancamento dei denti. Il risultato è un sorriso fresco, naturale e pieno di sicurezza.

Brillantini

Brillantino

La paziente ha scelto l’applicazione di un gioiello dentale brillante, che dona al sorriso un dettaglio unico ed elegante. La procedura è rapida, indolore e non danneggia la struttura del dente, ideale per chi desidera un tocco moderno e personalizzato.

Brillantino

Dettagli che illuminano il sorriso
La paziente ha scelto l’applicazione di gioielli dentali brillanti per rendere il suo sorriso unico e contemporaneo. Una procedura veloce, indolore e di grande impatto estetico, senza compromettere la salute del dente.

Brillantino

La paziente ha scelto di impreziosire il proprio sorriso con gemme dentali scintillanti, aggiungendo un dettaglio elegante e moderno. Un tocco estetico discreto che rende il sorriso unico e luminoso.

Brillantino

Applicazione estetica di un brillantino dentale,una procedura  rapida, indolore e totalmente non invasiva per lo smalto. la pazienta ha scelto un tocco luminoso ed elegante che valorizza il suo sorriso in modo delicato e naturale.

Brillantino

La paziente ha scelto l’applicazione di gioielli dentali, un trattamento estetico minimamente invasivo che dona al sorriso un tocco unico, elegante e personalizzato, senza compromettere la struttura del dente.

Brillantino

La paziente ha scelto di applicare gemme dentali brillanti, un trattamento estetico minimo che dona al sorriso un tocco unico, moderno e personalizzato senza danneggiare i denti.

Risultati - Raccolta

Impianti

All-on-4 


E-max

Veneers 

E-max

Veneers 

Impianti

All-on-4

All-on-6

Due arcate dentarie complete di dodici elementi su sei impianti

All-on-6

Due arcate dentarie complete di dodici elementi su sei impianti

All-On-4

All-On-4

All-On-4

Ponte e corona in zirconia

All-On-4

All-On-4

All-On-4

Come Funziona?

Prenota il Tuo Consulto Gratuito

HAI UNA PANORAMICA? INSERISCILA QUI

Contattaci ora!

Ottieni una Consulenza Professionale

Blv. Bajram Curri, Pallatet Agimi, Shkalla 7, Tirana, Albania

+355 68 282 0771

Da lunedì a sabato dalle 9:00 alle 20:00